врач-стоматолог, покоривший
4538 пациентов
ФИО
Михеева Анастасия Серафимовна
Город
Фрязино, Щелково
Здравствуйте! Я - врач-стоматолог, Михеева Анастасия Серафимовна. Я закончила Рязанский государственный медицинский университет им. акад. И.П. Павлова в 2014 г.
По настоящее время я постоянно повышаю свою квалификацию, хожу на различные конгрессы и семинары. Я лечу взрослых и детей в условиях общего наркоза и седации.
Стаж моей работы 12 лет.
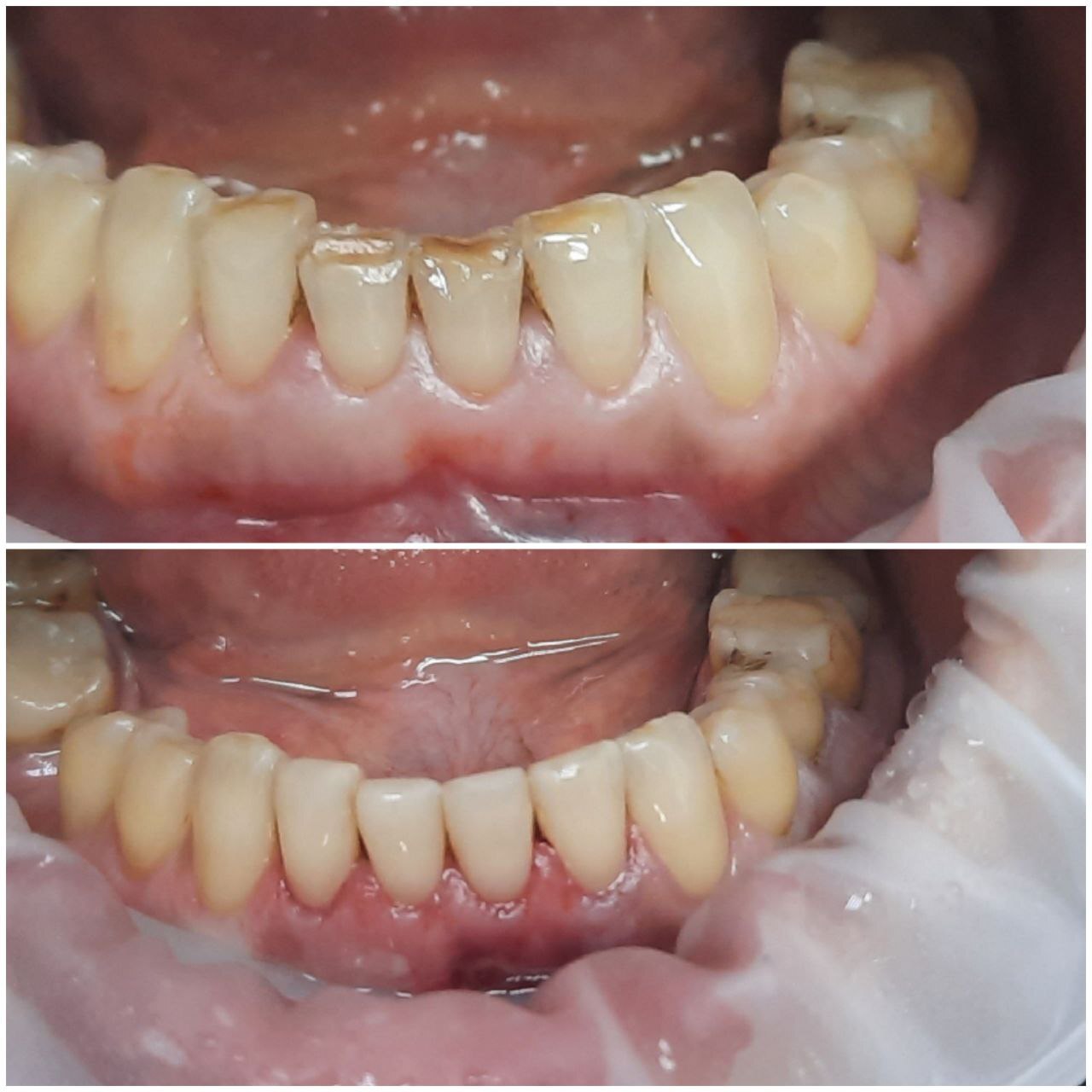
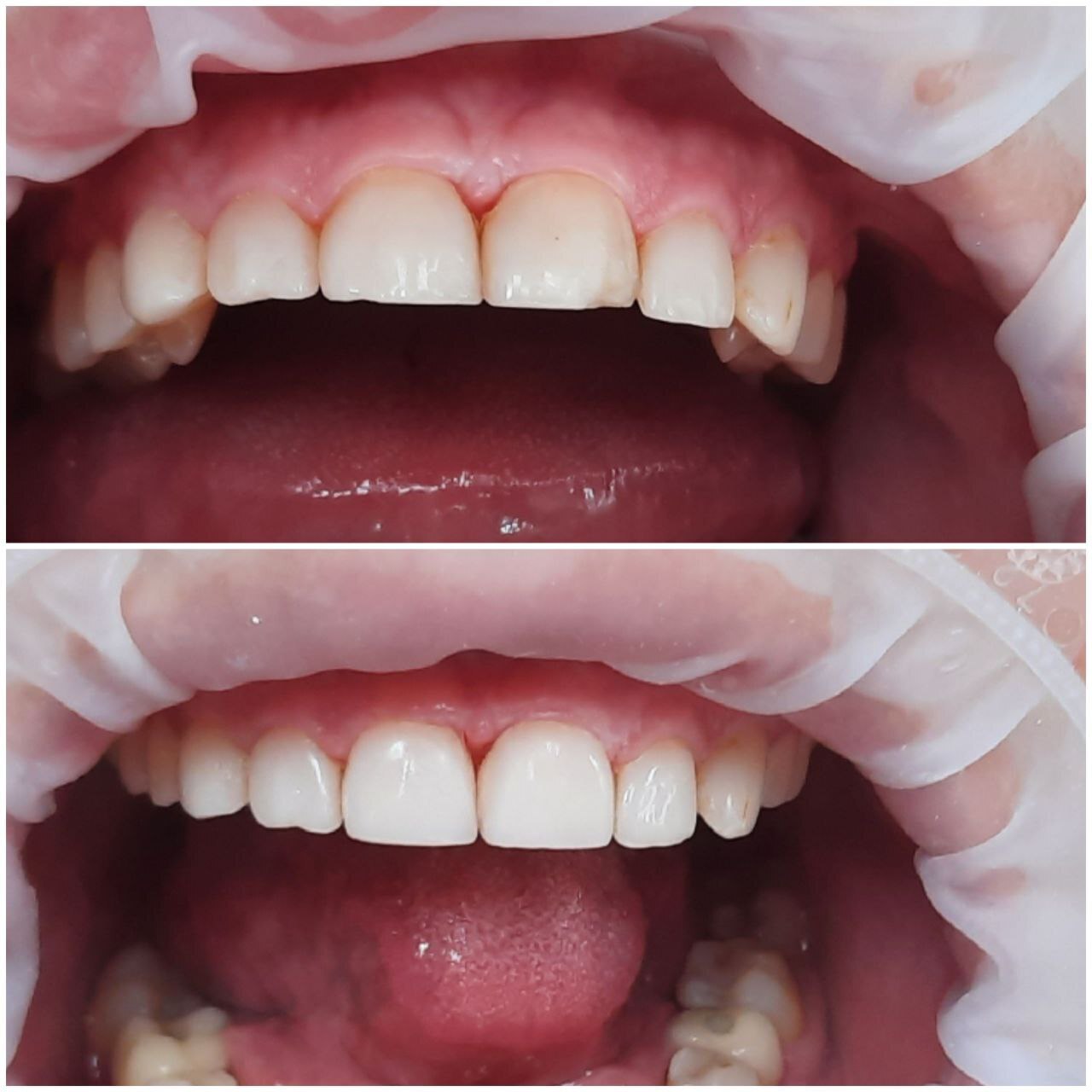
Я лечу взрослых и детей. Я отношусь с большой заботой и внимательностью к своим пациентам, Вы можете полностью расслабиться у меня на приеме! Полную информацию о моих услугах смотрите в разделе "УСЛУГИ И ПРАЙС".
Очень люблю своих пациентов, рада делать Вам красивые улыбки и спасибо за доверие! Жду Вас у себя на приеме.
С уважением, доктор Михеева А.С.
*Более детальную информацию по услугам и ценам я дам Вам на приеме.
Я очень люблю своих пациентов, рада делать Вам красивые улыбки! Благодарю каждого за доверие!
Я закончила Рязанский Государственный Медицинский Университет им. акад. И.П. Павлова в 2014 г.
По настоящее время я постоянно повышаю свою квалификацию. Стаж моей работы 12 лет.




Запись на приём по телефону: +7 (925) 203-53-80
А так же можно: